Рубрики
МЕНЮ
Slava Kot
Медики з Університетського коледжу Лондона вперше повідомили про успішне лікування хвороби Гантінгтона — одного з найстрашніших і найруйнівніших генетичних захворювань. Цей стан, який є поєднанням деменції, хвороби Паркінсона та захворювань рухових нейронів, яке вражає тисячі людей у світі та досі вважався невиліковним.

Джек Мей-Девіс успадкував ген хвороби Гантінгтона. Фото з відкритих джерел
Хвороба Гантінгтона викликається мутацією гена, який призводить до руйнування клітин мозку. Якщо один із батьків має цей ген, дитина має 50% ризику успадкувати його.
Симптоми хвороби Гантінгтона зазвичай проявляються у віці 30–50 років і поступово погіршуються. Пацієнти втрачають здатність контролювати рухи, страждають від когнітивних розладів та змін настрою. Тривалість життя пацієнтів з моменту появи перших симптомів становить приблизно 15-20 років. Смерть настає не від самої хвороби Гантінгтона, а від її ускладнень.
Прорив у лікуванні хвороби Гантінгтона став можливим завдяки унікальній геннотерапії. Під час складної операції тривалістю 18 годин модифікований вірус вводять безпосередньо в мозок. Він поширюється від клітини до клітини, блокуючи шкідливий білок, який запускає руйнівний процес.

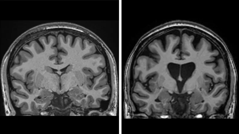
Ліворуч зображено здоровий організм, праворуч – втрату мозкової речовини через гибель нейронів при хворобі Гантінгтона
Дослідження Університетського коледжу Лондона охопило 29 пацієнтів. Через три роки стало відомо, що прогресування хвороби вдалося сповільнити на 75%. Це означає, що стан, який зазвичай погіршується за один рік, тепер розвивається лише за чотири.
Одним із тих, хто взяв участь у випробуванні, став 30-річний Джек Мей-Девіс, який успадкував ген від батька та бабусі. Його батько помер у 2016 році після тривалих страждань спричинених хворобою Гантінгтона. Однак тепер Джек розповів, що вперше може планувати майбутнє.
Деякі пацієнти після терапії повернулися до роботи, а ті, хто мав ризик опинитися в інвалідному візку, досі можуть самостійно пересуватися.
Метод розробила компанія UniQure, яка вже планує подати заявку на прискорене схвалення до Управління з контролю за продуктами і ліками США (FDA). У разі позитивного рішення препарат стане доступним також у Великій Британії та Європі.
Зараз у Великій Британії, США та Європі з діагнозом хвороба Гантінгтона живе близько 75 тисяч людей, а сотні тисяч є носіями мутації та ризикують захворіти в майбутньому.
Раніше портал "Коментарі" повідомляв про те, як прищепити мозку "імунітет" від хвороби Альцгеймера.
Також "Коментарі" писали, що австралійські вчені заявили про прорив у лікуванні деменції.